Стоматолог-терапевт Кряжева Екатерина Викторовна

Стоматолог-терапевт Кряжева Екатерина Викторовна

Стоматолог-терапевт Кряжева Екатерина Викторовна стоматологической клиники QR DENTAL в Минске. Стаж работы - 11 лет. Врач стоматолог-терапевт первой категории. Специализация терапевтическая стоматология (лечение кариеса, эстетическая реставрация, эндодонтия). Ведёт детский и взрослый приём.
  • Окончив Белорусский государственный медицинский университет в 2011 году, Кряжева Екатерина Викторовна проходила интернатуру по специальности "Стоматология", присвоена квалификация врач-стоматолог.
  • Опыт работы со взрослыми пациентами и детьми. Лечение кариеса у взрослых и детей, эндодонтия (лечение корня зуба, зубных каналов с целью сохранения зуба), реставрация зубов.
  • Обмен опытом с коллегами из разных стран, обучение на английском языке. Всё для того, чтобы взрослый и маленький пациент получили лучший сервис и качество работы врача-стоматолога-терапевта.
  • Ежегодное повышение квалификации, курсы, обучающие семинары позволяют быть врачом-стоматологом высокого уровня, следить за мировыми тенденциями в стоматологии и применять их на практике

Специализация



Кряжева Екатерина Викторовна

Кряжева Екатерина Викторовна
Cтоматолог-терапевт

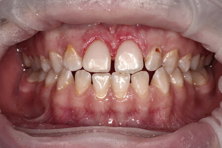
Примеры работ:

До Примеры работ QR Dental
После Примеры работ QR Dental

Врач:Кряжева Екатерина Викторовна

Терапевтическая стоматология

Лечение кариеса зуба 46
До Примеры работ QR Dental
После Примеры работ QR Dental

Врач:Кряжева Екатерина Викторовна

Терапевтическая стоматология

Лечение кариеса зуба 36,37
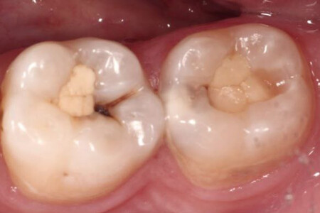
До Примеры работ QR Dental
После Примеры работ QR Dental

Врач:Кряжева Екатерина Викторовна

Терапевтическая стоматология

Замена дефектных пломбы в зубах 2.7
До Примеры работ QR Dental
После Примеры работ QR Dental

Врач:Кряжева Екатерина Викторовна

Терапевтическая стоматология

Замена старой пломбы в зубе 2.6.
До Примеры работ QR Dental
После Примеры работ QR Dental

Врач:Кряжева Екатерина Викторовна

Терапевтическая стоматология

Замена дефектной пломбы и лечение кариеса зуба 1.6
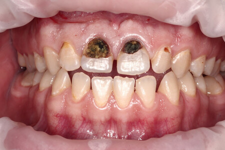
До Примеры работ QR Dental
После Примеры работ QR Dental

Врач:Кряжева Екатерина Викторовна

Терапевтическая стоматология

Восстановление передних зубов композитными пломбами
До Примеры работ QR Dental
После Примеры работ QR Dental

Врач:Кряжева Екатерина Викторовна

Терапевтическая стоматология

Лечение кариеса молочных зубов 74 75
До Примеры работ QR Dental
После Примеры работ QR Dental

Врач:Кряжева Екатерина Викторовна

Терапевтическая стоматология

Лечение кариеса зуба 15
До Примеры работ QR Dental
После Примеры работ QR Dental

Врач:Кряжева Екатерина Викторовна

Терапевтическая стоматология

Лечение гипоплазии эмали молочного зуба
До Примеры работ QR Dental
После Примеры работ QR Dental

Врач:Кряжева Екатерина Викторовна

Терапевтическая стоматология

Замена дефектной пломбы и лечение кариеса зуба 1.6
До Примеры работ QR Dental
После Примеры работ QR Dental

Врач:Кряжева Екатерина Викторовна

Терапевтическая стоматология

Лечение кариеса зуба 2.7
До Примеры работ QR Dental
После Примеры работ QR Dental

Врач:Кряжева Екатерина Викторовна

Терапевтическая стоматология

Лечение кариеса и замена старых пломб в зубах 24 и 25

Сертификаты и дипломы

Обучение и повышение квалификации

  «Постэндодонтическое восстановление зубов»/ Горбенко В.Д.

  «Many good news in non - surgical endodontics»/ Dr.Arnaldo Castellucci
  «От эндодонтии к реставрации»/ Максим Белград 24.08.2013 «Искусство прямой реставрации передних зубов»/ Александр Фецыч
  участие в I Белорусском международном стоматологическом конгрессе
  «Адгезивная реставрация жевательных зубов» / Александр Фецыч

  «Конффердам и постэндодонтическое восстановление зубов»/ Ноненко Игорь
  «Лучевая диагностика в амбулаторной практике врача-стоматолога»/Дмитрий Рогацкин
  «Direct vs Inderect»/ Jordi P. Manauta
  Hands-on course «Direct Anterior: Easy Way »/ Jordi P. Manauta
  Участие в II Белорусском международном стоматологическом конгрессе

  Присвоена первая категория по стоматологии в БелМАПО
  Курс по детской стоматологии «Лечить нельзя удалять. Работа над ошибками» / Екатерина Геранина
  «Неотложная помощь в амбулаторной врачебной практике» /Антон Бичун

  «Кариозные поражения временных и постоянных несформированных зубов» / Антонина Гецман
  «Пародонтология в ежедневной клинической практике» /Марина Приямпольская
  «Анализ неудач эндодонтического лечения» /Илья Мер
  «Практические нюансы каждодневной эндодонтии. Часть 1» / Михаил Соломонов

  «Лечение пульпитов и периодонтитов в детской стоматологии» / Антонина Гецман
  3D-Конференция KaVo
  «Авторский протокол инструментации корневого канала» / Илья Мер

  «Практические нюансы каждодневной эндодонтии. Часть 2 » / Михаил Соломонов

Что говорят о враче

Кряжева Екатерина Викторовна

ЗАКАЗАТЬ ЗВОНОК